Skip to content
  • (305) 596-1722
  • Payment Calculator
  • Patient Forms
  • Virtual Consult
Request a Consult
  • Our Practice
    • Who We Are
    • What Makes Us Different
    • Meet Our Doctor
    • Meet Our Team
    • Our Technology
    • Patient Reviews
    • Join Our Team
  • Orthodontics
        • Braces
          • Types Of Braces
          • Braces For Kids
          • Braces For Teens
          • Braces For Adults
          • Braces FAQ
          • Payment Calculator
        • Invisalign
          • About Invisalign
          • Invisalign For Kids
          • Invisalign For Teens
          • Invisalign For Adults
          • Invisalign FAQ
          • Payment Calculator
        • Other Treatments
          • Two-Phase Treatment
          • Surgical Orthodontics
          • Emergency Care
Garcia Orthodontics Logo
  • Patient Resources
    • Your First Visit
    • Virtual Consult
    • Patient Forms
    • Financial Information
    • Retaining Your Smile
    • Blog
  • Contact Us
  • Request A Consult
  • Patient Resources
    • Your First Visit
    • Virtual Consult
    • Patient Forms
    • Financial Information
    • Retaining Your Smile
    • Blog
  • Contact Us
  • Request A Consult
Main Menu
  • Patient Resources
    • Your First Visit
    • Virtual Consult
    • Patient Forms
    • Financial Information
    • Retaining Your Smile
    • Blog
  • Contact Us
  • Request A Consult
Garcia Orthodontics Logo
  • Our Practice
    • Who We Are
    • What Makes Us Different
    • Meet Our Doctor
    • Meet Our Team
    • Our Technology
    • Patient Reviews
    • Join Our Team
  • Orthodontics
    • Braces
      • Types Of Braces
      • Braces For Kids
      • Braces For Teens
      • Braces For Adults
      • Braces FAQ
      • Payment Calculator
    • Invisalign
      • About Invisalign
      • Invisalign For Kids
      • Invisalign For Teens
      • Invisalign For Adults
      • Invisalign FAQ
      • Payment Calculator
    • Other Treatments
      • Two-Phase Treatment
      • Surgical Orthodontics
      • Emergency Care
  • Patient Resources
    • Your First Visit
    • Virtual Consult
    • Patient Forms
    • Financial Information
    • Retaining Your Smile
    • Blog
  • Contact Us
  • (305) 596-1722
  • Payment Calculator
  • Patient Forms
  • Virtual Consult
  • Request A Consult
  • Socials
    • Facebook
    • Instagram
    • Youtube

A Question Of Missing Teeth

It’s Time To Love Your Smile

  • Dr. Garcia
  • April 2, 2016

Missing lateral teeth before and after replacmentsMissing permanent teeth or premature loss of baby teeth is one reason why the American Association of Orthodontics (AAO) recommends an orthodontic consultation for children beginning at age 7. The upper lateral incisors, second premolars and third molars (wisdom teeth) are the teeth most likely to fail to develop or erupt. Heredity is considered a major factor when permanent teeth are congenitally missing.

To determine whether or not teeth are actually missing, x-rays must be taken and carefully evaluated by Garcia Orthodontics. At times, a tooth may not actually be missing, but hidden underneath the gums and in poor position, preventing normal eruption and requiring orthodontic treatment to bring the tooth into alignment.

When permanent teeth are missing, an orthodontic consultation by Dr. Francisco Garcia will determine if the space caused by the missing teeth can be closed or remain open, requiring a replacement to fill the space and maintain the bite. Without orthodontic treatment, the teeth on either side of the missing tooth will move randomly and tip into the open space, causing poor tooth alignment, bite problems and bone loss as we age.

If the problem is diagnosed at an early age, a simple appliance (space maintainer) is placed to hold the space and makes orthodontic treatment easier, when all the permanent teeth erupt. In some instances, if a space maintaining appliance is inserted and all the other teeth erupt normally into the mouth, orthodontic treatment can be avoided after wearing a very simple appliance. A general dentist can then replace the permanent tooth, if it is missing, when the child is old enough, with an implant and crown or another type of permanent replacement.

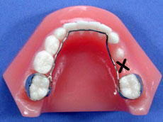
Space maintainer A permanent tooth is missing underneath the X. The appliance holds the molar in position while the rest of the permanent teeth erupt.

The appliance is cemented on the teeth so you don’t have to worry about it as long as the patient is brushing their teeth regularly and staying away from sticky foods.

 

About Dr. Francisco J. Garcia

Dr. Francisco J. Garcia, DMD is the founder of Garcia Orthodontics in Miami, Florida. A proud Miami native, Dr. Garcia has spent over a decade helping patients achieve healthier, more confident smiles through advanced orthodontic care, including Invisalign, clear braces, and early treatment options. He proudly serves families throughout Miami and Kendall with personalized, patient-focused care.
Dr. Garcia earned his Doctor of Dental Medicine (DMD) degree with honors in general dentistry from Boston University. He then completed a two-year, accredited post-doctoral program in Orthodontics and Dentofacial Orthopedics, where he specialized in diagnosing and correcting complex bite and jaw issues. As a dedicated leader in his field, Dr. Garcia is an active member of the American Association of Orthodontists (AAO) and is committed to ongoing education and clinical excellence.
His licensure and professional credentials are also verified in the National Provider Identifier (NPI) Registry.
At Garcia Orthodontics, Dr. Garcia blends cutting-edge technology with a compassionate, multilingual approach—he speaks six languages—to ensure every patient receives exceptional care in a welcoming environment. Learn more about Dr. Garcia here or book your consultation to take the first step toward your best smile.

request a consult

Get Started On Your Smile!

We’ve made getting started simple, and we know you’ll love our individualized approach. We want to not only meet your expectations but exceed them! Get started by requesting your consultation today!

Request A Consult

$0 Down*

No Down Payment +
Flexible Financing

As Low As $149/Month*

Low Monthly
Payments

Start The Same Day

Get Your New Smile
Started Right Away

*Disclaimer: The total fee will be based on the complexity and duration of the case. A down payment may be required.

patient testimonials

Our 5-Star Experience

We’re one of the only practices in Florida with 3,000+ reviews! See why our patients love coming to our office for treatment!

Diego B.
My experience has been spectacular from the clean and organized clinic to the very satisfactory attention from Mafer. She always has a smile on her face and her kindness makes me feel as if I were home!!!
Zel E.
Una excelente atención de parte de Lietty. Muchas gracias por su amabilidad y confianza que dan al ser atendidos. Saludos a un gran equipo 🙃
Response from the owner:¡Muchísimas gracias por tus palabras! 🌟 Nos alegra saber que Wendy pudo atenderte con dedicación y brindarte la confianza para expresar tus inquietudes. Le compartiremos tu mensaje, seguro le hará muy feliz. Gracias por recomendarnos. 💙
s K.
One of the best orthodontics in Miami! I love the amazing service from the employee’s specially, Mercedes and Dr.Garcia for their attentiveness . I recommend everyone this orthodontist office if they are looking for a better smile. It’s definitely worth the money and the patience.
Response from the owner:We’re so happy to hear about your great experience! 🙌 Thank you for being part of our orthodontic family. 💙
nikki I.
Thanks to Jonathan and dr. Garcia helped perfect my teeth, I trust them with my teeth than any other place, literally the best
Leonardo O.
I’ve had a great experience so far with Garcia Orthodontics during my braces treatment. The entire team has been welcoming, professional, and always makes each visit smooth and comfortable. Dr. Garcia has been attentive throughout the process and always takes the time to make sure everything is progressing the way it should.

A special thank you to Jonathan, who has been amazing at every appointment. He is always kind, patient, and very thorough. He makes each adjustment as comfortable as possible, answers any questions I have, and always makes me feel well taken care of. His professionalism and attention to detail really stand out, and it is clear he genuinely cares about the patients he works with.

I’m still in treatment, but my experience so far has been excellent and I’m already very happy with the progress. I would definitely recommend Garcia Orthodontics to anyone looking for a team that is knowledgeable, welcoming, and truly cares about their patients.
Wen R.
Me encanta García Orthodontics Miami, todos super atentos,Wendy me atendió hoy, es especial, muy amable y profesional. Recomendada 100%.Gracias!
Response from the owner:¡Gracias por tu linda reseña! 🌟 Es un placer ser parte de tu viaje ortodóntico. ¡Sigue brillando! 😁✨
Manuela V.
Hoy me atendió Shirley con muchísimo amor, me encantó todo y me trató súper bien y con delicadeza todo súper!!❤️
Adrian Gutiérrez G.
Es mi segunda cita, y me atendi con mercedes, la cual está muy capacitada técnicamente y explica el proceso muy detalladamente y te hace sentir en tu casa , muy agradecido a Nori
Response from the owner:Wow que lindo oir eso, que te sientes en casa y comodo! Nos alegra🤗
READ MORE
Patient group photo
our location

Come Visit Us

Come by our office and meet our friendly team! We’re ready to help you achieve the smile of your dreams, and we look forward to meeting you soon!

  • Garcia's Address
  • 11400 N. Kendall Dr. Ste. 105
    Miami, FL 33176
  • Phone
  • (305) 596-1722
Contact Hours
Monday9:00am – 5:00pm
Tuesday9:00am – 5:00pm
Wednesday9:00am – 5:00pm
Thursday9:00am – 5:00pm
Friday8:30am – 5:30pm
Miami
garcia-interior
Logo Wapper
Garcia orthodontics logo
Request A Consult
Quick Links
Main Menu
  • Our Practice
  • Orthodontics
  • Patient Resources
  • Contact Us
Contact Info
  • Miami, FL
  • (305) 596-1722
Follow Us
Request A Consult
© Copyright 2026 Garcia Orthodontics Sitemap | Privacy Policy | Notice of Privacy Practices | Click for Accessibility
Garcia orthodontics logo
Marketing & Web Design by HIP
New Patient
call (305) 596-1722
text (305) 596-1722
Existing Patient
call (000) 000-000
text (000) 000-000